Skip to content
CoMo Science
Home
Hubs
Things to See and Do
Science Club
Supplements
Special Project Ideas
Category:
WIT Histology
What is this? 009
Mar 18, 2025
—
in
Biology
,
What is this
,
WIT Biology
,
WIT Histology
,
WIT Medical
,
WIT Microscopy
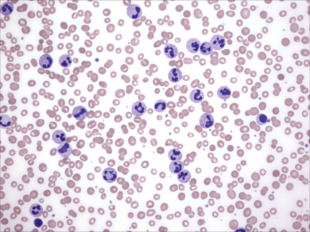
Test your knowledge and ability to interpret a common scientific diagram.
Subscribe
Subscribed
CoMo Science
Sign me up
Already have a WordPress.com account?
Log in now.
CoMo Science
Subscribe
Subscribed
Sign up
Log in
Report this content
View site in Reader
Manage subscriptions
Collapse this bar