Meaning: stone
Root word: Latin calx (genitive calcis) “lime”, Greek χάλιξ (khálix) “pebble”, “limestone”
Roots with similar meanings:
- lapid- meaning “stone”
- lith- meaning “stone”
Roots with opposite meanings:
Roots that could be confused:
- cal-, call- meaning “beautiful”
- cal- meaning “call”
- cal- meaning “heat”
Notes: Many of the words are related to calcium (the major component of limestone), calculus and calculation (from the pebbles uses in calculations).
Derived English Words
Commonly encountered words are in bold.
calcium: A chemical element (Ca) that is an essential mineral for living organisms, especially important for bones and teeth, as well as muscle function and nerve signaling.
calcification: The process by which calcium salts build up in body tissue, causing the tissue to harden. This often occurs in bones but can also happen in soft tissues as part of disease processes.

calcify: To undergo or cause to undergo calcification, usually referring to the process of hardening due to calcium deposits.
calcite: A common mineral form of calcium carbonate (CaCO₃), typically found in sedimentary rocks like limestone and marble.
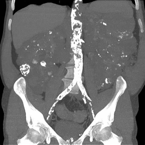
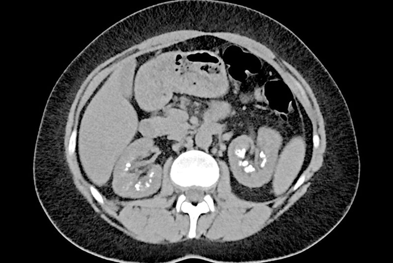
calculus: A hard, stone-like deposit formed in a body organ, often referring to kidney stones, gallstones, or dental plaque.
calculi: Plural of “calculus,” referring to small, hard deposits of minerals that can form in various parts of the body, such as kidney stones or gallstones.

calculous: Relating to or characterized by the presence of calculi (stones), especially in the organs or ducts, such as in the gallbladder or kidneys.
calciform: Having the form of chalk or lime.
calciphile: An organism or substance that thrives in environments with high concentrations of calcium, such as certain plants or bacteria.
calciphobe: An organism or substance that avoids or cannot tolerate high levels of calcium.
calciphylaxis: A rare syndrome characterized by painful skin lesions caused by calcification of blood vessels of the skin.
calcrete: A type of hardened soil or sedimentary rock that contains a significant amount of calcium carbonate, often formed in arid regions.
calcicole: A plant that thrives in soils with high calcium content, particularly those rich in limestone.
calcivorous: Feeding on calcium-rich materials, typically used to describe certain organisms that consume calcium-rich substances such as bones.
calcipexy: Surgical fixation of a bone or joint using calcium-based materials or techniques to promote healing or stabilization.
chalk: A soft, white, porous sedimentary rock made primarily of calcium carbonate, often used in classrooms for writing on blackboards or for other industrial uses.
ergocalciferol: Vitamin D2, a vitamin involved in the regulation of calcium in the body.
cholecalciferol: Vitamin D3, a vitamin involved in the regulation of calcium in the body.
calcitriol: The active form of vitamin D
calcitonin: A hormone produced by the thyroid gland that helps regulate calcium levels in the blood by lowering calcium concentrations, counteracting the effects of parathyroid hormone.
calculate: To determine or estimate something mathematically or logically, typically involving numbers or data.
calculation: The determination of something mathematically.
incalculable: Unable to be calculated.
calculus: A branch of high mathematics.
Other Uses
acalculous cholecystitis: Inflammation of the gallbladder in the absence of gallstones.
calculus of variations: A branch of higher mathematics involving optimization of a function.
infinitesimal calculus: A branch of higher mathematics involving limits, derivatives and integrals; often referred to as simply “calculus”.
Links
List of Greek and Latin roots in English – Wikipedia
Other Roots Used in These Words
| Root | Meaning |
|---|---|
| fac-, fact-, -fect-, -fic- | do, make |
| form- | shape |
| phil-, -phile | love, friendship |
| phob- | fear |
| tri- | three |
| vor- | swallow |
Leave a comment